CASE STUDY - (August 2014)
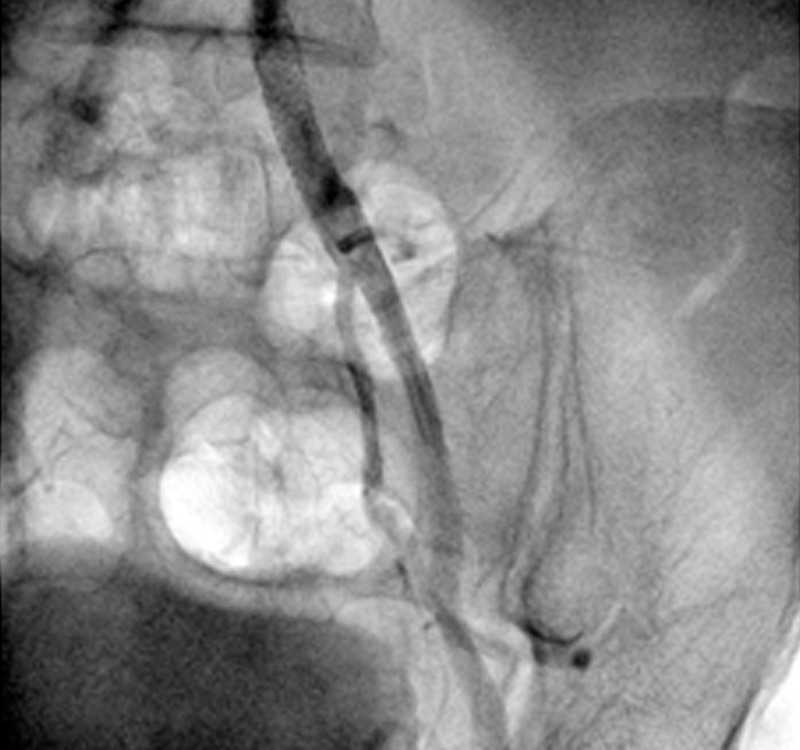
Angioplasty of legs vessel by Radial approach
A 56 year old gentleman presented with pain in left leg while walking. He was diabetic and hypertensive. His left lower limb pulse was not palpable. Angiography of his lower limb vessel from radial route was done which showed minor plaque in right side of leg while there was significant blockage (80-90%) in the main vessel of the left leg.
Most of the cardiologist will open the critical blockage in the left leg by inserting catheter from the right leg. Doing these types of cases from radial artery (vessel of hand) is always challenging and one has to have clear idea of approach and familiarity with the hard wire used for performing these types of procedure without any complication.
Critical blockage of left leg was successfully dilated with the balloon and subsequently stent was placed without any complication. Cannula from the arm was immediately removed after the procedure and patient could walk immediately after the procedure. If we do such types of cases by femoral route, patient has to be one bed at least for next 10-12 hours and patient even not allowed to fold the legs for at least 10-12 hours. Patient was discharged successfully next day morning.
CASE STUDY - (July 2014)
Successful Treatment of Massive Pulmonary Embolism by Systemic Thrombolysis
A middle year old man presented with complaints of numbness of the right hand. He also said that he was feeling shortness of breath for the past 8-10 days. Physician at the small peripheral hospital felt that his pulse on the right hard was absent and was referred here for further management.
On examination patient was looking short of breath. His pulse on right hand was absent and he was not even able to walk few steps. His echocardiography revealed poor function of right side of heart’s chamber and pressure of pulmonary artery was very high.
He immediately was diagnosed clinically to have massive pulmonary embolism (Massive attack of the lungs just like heart attack in layman language). His oxymetry saturation was 78%. Based on all parameters, he was admitted in ICU and immediately other investigations and treatment were started.
Acute pulmonary embolism is life threatening condition if not treated aggressively and timely, >50% of patients do not survive.This patient he had two problems; first his pulse was absent on one side of the arm suggestive of occlusion of arm vessel, secondly he was not maintaining basic oxygen level in the body and was having shortness of breath because of that.
Diagnosis was confirm by pulmonary angiography which revealed total cut off of right side of pulmonary artery due to large thrombus and complete occlusion of his brachial-axillary artery by large thrombus. Looking to literature and available scientific evidence, the preferred treatment of choice of the patient with massive pulmonary embolism is systemic thrombolysis.
Risk of thrombolysis includes intracranial bleeding and bleedings from other part of body. He responded well with the treatment and he started maintaining basic oxygen level without oxygen support from the next day onward. His pulse on the right side of the hand came back and he started feeling comfortable from the next day morning. He had little bleeding and oozing from the angiographic puncture site on the right leg, otherwise no bleeding from anywhere.





